Gerelateerde onderwerpen
Specifiek:
Algemeen:
Anatomie:
Patiënten:
Mechanisme
Ontstaat meestal ten gevolge van een indirecte krachtwerking, waarbij de het bovenbeen geforceerd wordt aangespannen met de knie in flexie (bijv. sportblessure). Soms gepaard met systeemafwijkingen, zoals rheumatoide arthritis of het chronisch gebruik van corticosteroiden. Met name krachtsporters, die anabolen gebruiken hebben te maken met spontane ruptuur van de patellapees en/of quadricepspees. Fig.1, fig.2, fig.3, fig.4.
Diagnose
- Afwezige strekapparaat met soms palpabe delle.
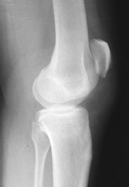
- X-knie (lateraal en AP): hoogstand patella (patella alta) met eventuele avulsie van de patella-onderpool. Bij klinische twijfel is kan een echo uitkomst bieden.



Behandeling
|
|
Indicatie 1 |
elke ruptuur. |
Behandeling |
hechten met Vicryl 1.0 gecombineerd met cerclagedraden door de boorgaten thv. tuberositas tibiae en proximale patella |
Nabehandeling |
postoperatief: continuous passive motion (CPM) gevolgd; loopkoker durante 8 weken (belastbaar). |
Complicaties
Recidief ruptuur.
Bron
- Letsels van het steun- en bewegingsapparaat. 1ste editie. Van der Werken 2000.
- Rockwood fracture in Adults. 5de editie. Buchholz en Heckman 2001.
- Het protocol letsels van het steun- en bewegingingsapparaat. Traumaregio Oost UMCN Radboud 2006.
- Wheeless CR. Wheeless' Textbook of Orthopaedics 2007.
Laatste update:
30-01-2014


